老涛资讯网
吴迪啊的文章
肺部健康慢阻肺正能量
2026-01-15 17:28
治肺栓塞这些坑别踩!⚠️症状缓解就停药?大错特错!抗凝治疗是核心,至少要持续三个
2025-11-09 01:16
🌬️哮喘和咳嗽变异性哮喘如何区分?呼吸科医生说,这两种病本质相通,气道都有敏感
2025-10-29 23:03
🥦肺怕的不是辣,是这4样!肺是呼吸系统核心,有一定免疫功能,但一接触脏东西、受
2025-09-25 02:25
🤧感冒后咳嗽反反复复怎么办?🤔有些人感冒好了之后,咳嗽却反反复复,总是好不了
2025-08-10 16:22
我在头条累计获收藏量破5000啦!
2025-07-07 17:41
恭喜你刷到了我,从此多了位医生朋友。 我是肺病医生吴迪,不用排队、不用路费。当你
2025-01-03 17:46
恭喜你刷到了我,从此多了位医生朋友 我是肺病医生吴迪,不用排队 不用路费,当你有
社会
2025-01-03 17:46
你是否呼吸困难,一动就喘,反复咳嗽咳痰,心慌,缺氧,胸闷气短,嗓子有异物感,不必
2025-01-03 17:46
你有出现夜间和凌晨的干咳吗? 是不是吃止咳药和抗生素效果不好 患者张女士34岁,
2026-01-03 18:27
65岁慢阻肺老人因被烟雾呛到,呼吸困难,窒息而亡 65岁的大妈和家人在楼下大排档
2025-01-03 17:46
肺病到了中晚期也不用再害怕,找我就对了, 肺病不用再害怕了,现在已经是一种慢性常
2025-01-03 17:46
20小伙子长期抽烟,体检结果查出肺气肿!!! 20岁的身体却得了中老年人应该得的
2026-01-03 18:27
恶性的就不治了,不想成为儿女的累赘 今天接诊了一位七十岁的老人,半年前出现咳嗽胸
2026-01-03 18:27
遇到哮喘患者急性发作,需要这样做 当遇到哮喘患者急性发作时,需特别关注几个方面,
2025-01-03 17:46
反反复复咳嗽你要注意了! 这种咳嗽你不及时治,我负责任的告诉你,到后来很可能可以
2025-01-03 17:46
[伤心]咳嗽反复不好,可能是这个病。不论是有没有痰,白天咳或晚上咳,还是白天晚上
2025-01-03 17:46
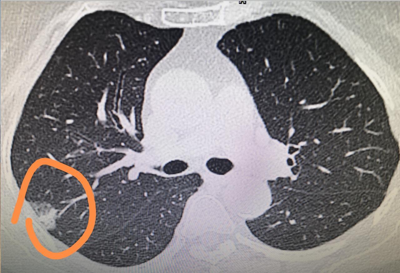
[心]肺结节的6种描述,这次教会你看!会看了不用四处求人! 描述1:边界清 多是
2026-01-03 18:27
前些天接诊了一个62岁的男性患者,说自己干咳将近3个月,误以为是支气管炎,吃了很
2025-01-03 17:46
肺部CT出现这5种情况,恭喜你,先不用治!关注肺结节 健康 肺
2026-01-03 18:27
第一页
下一页
吴迪啊
感谢大家的关注
热门分类
推荐
热榜
军事
NBA
体育
社会
明星八卦
娱乐
财经
科技
汽车
历史
国际
游戏
动漫
公益
搞笑
商业
互联网
数码
国际足球
房产
家居
时尚
科学探索
职场
育儿
股票
教育
影视
情感
热点
中国军情
武器
中国南海
中国足球
亚洲杯
科比
综合体育
CBA
投资
大咖秀
外汇
创业
风口
SUV
豪车
概念车
优惠
新能源
美国
欧洲
朝日韩
俄罗斯
孕期
街拍
婚姻
正能量