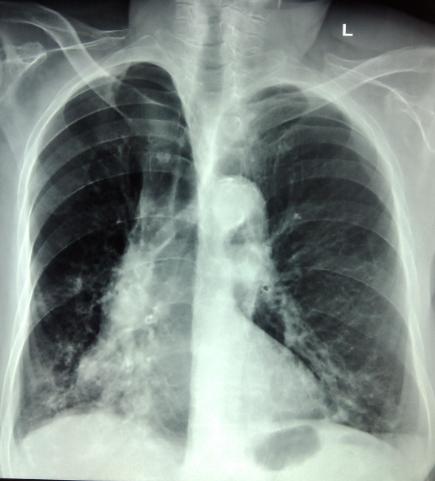
20小伙子长期抽烟,体检结果查出肺气肿!!! 20岁的身体却得了中老年人应该得的病,原来这个年轻小伙子虽然年纪不大,却是10多年的老烟民, 我们都知道肺气肿是一种常见的呼吸系统疾病,主要表现就是咳嗽,咳痰,气喘,呼吸困难,胸闷这些症状。 诱发肺气肿的主要因素有三种 第一种吸烟,吸烟是肺气肿最重要的原因,80%肺气肿由吸烟导致,吸烟者患肺气肿的可能性是非吸烟者的6倍。环境香烟(二手烟)、呼吸道感染、大气污染、职业性粉尘和有害气体的长期吸入等也是重要原因。 第二种,遗传性a1抗胰蛋白酶是长期以来公认的遗传因素,蛋白酪氨酸磷酸酶非受体6型(PTPN6) 基因的突变最近被认为是第二个引起肺气肿的基因。 第三种也考虑可由慢性肺部疾病进展而来,如哮喘、支气管扩张等, 所以建议大家尽早戒烟,为你自己,也为了家人吸入你的二手烟。 我是公立三甲医院呼吸科副主任医师吴迪, 我擅长: 1.咳嗽 2.肺结节 3.哮喘 4.慢阻肺 5.肺大泡, 6.肺纤维化 7.支气管扩张 8支气管炎 9.肺炎 10肺ai 等呼吸肺部疾病已经20多年了,别的我不擅长,肺病是我的专业。 如果你目前正在被这些问题困扰,可以给我留言,我来帮你解答。


