老涛资讯网
乔贵的文章
手指出现这种异常,可能是肺癌发出的信号!最近门诊接诊了一位40岁的男患者,印象特
2026-01-09 09:06
最近接诊的一个案例,让我心里特别不是滋味,想拿出来跟大家好好说说,希望能给更多人
2026-01-09 09:06
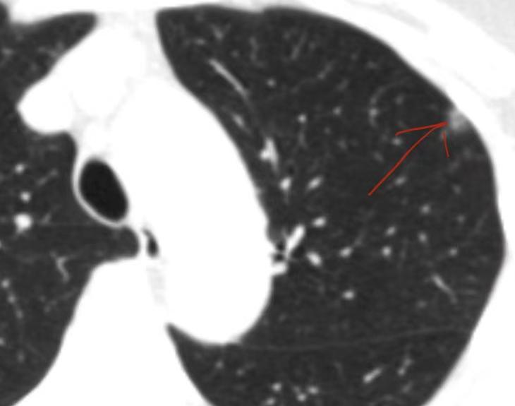
哥哥确诊晚期肺癌,妹妹CT查出肺结节!门诊接了个特殊的患者,42岁的女性,自己开
2026-01-08 09:08
肺癌患者做完手术,随着体力慢慢恢复,“营养补充”就成了康复路上的关键事!其实不用
2026-01-08 09:08
肺内7个结节,不是晚期转移!前段时间接诊了一位50岁的女患者,她拿着体检报告慌慌
2026-01-08 09:08
惊险!准备切除的肺结节是良性,藏在血管间的小疙瘩才是“真凶”......前阵子遇
2026-01-07 09:07
63岁老教师的抗癌记:8cm大肿瘤竟几乎消失!前段时间接诊了一位老教师,印象特别
2026-01-07 09:07
50岁女性双肺多发结节,随访发现变化急就医,术后终安心!山东的杨女士,半年前体检
2026-01-06 10:09
肺结节的朋友们看过来!今天乔医生给大家分享一个简单有效的呼吸法,坚持练习能帮助改
2026-01-06 10:10
我的同行,一位 75 岁的医务工作者,6年前体检偶然查出的肺病灶,之后便一直处于
2026-01-06 10:09
最近我发了一条关于“早期肺癌需要手术”的内容,评论区里有不少朋友提出了疑问,甚至
2026-01-06 10:09
很多朋友都会问:肺癌会遗传吗?今天就给大家明确答案!肺癌不是遗传病,但它具有遗传
2026-01-04 11:06
肺磨玻璃结节随访期间,发生转移了?跟大家分享一个我接诊过的病例,有位60多岁的阿
2026-01-04 10:06
3个月前门诊遇到一位30岁的女士,由她先生陪着来的。她手里拿着外院的CT报告,声
2026-01-04 10:06
门诊来了个14岁的小男孩,我一开始还以为是来看漏斗胸的。结果他妈妈告诉我,其实是
2026-01-04 10:06
作为胸外科医生,尤其是专注肺癌治疗的医生,我们常强调一个核心共识:吸烟是与肺癌发
2026-01-04 10:06
这位33岁的女性患者,体检发现右肺有2个磨玻璃结节,可以清楚地看到,这两个结节与
社会
2025-12-31 09:05
“观察两年都没变化的肺结节,这次我还是建议切除”!30岁的她拿着体检报告,再次走
2025-12-31 09:05
看到网上说“肺混合磨玻璃结节最危险”,很多朋友一查出就慌了,恨不得马上手术,其实
2025-12-30 10:05
周一门诊,一位34岁的女士来复查肺结节。她说,其实半年前就挂过我的号,可到了那天
2025-12-30 10:05
第一页
下一页
乔贵
感谢大家的关注
热门分类
推荐
热榜
军事
NBA
体育
社会
明星八卦
娱乐
财经
科技
汽车
历史
国际
游戏
动漫
公益
搞笑
商业
互联网
数码
国际足球
房产
家居
时尚
科学探索
职场
育儿
股票
教育
影视
情感
热点
中国军情
武器
中国南海
中国足球
亚洲杯
科比
综合体育
CBA
投资
大咖秀
外汇
创业
风口
SUV
豪车
概念车
优惠
新能源
美国
欧洲
朝日韩
俄罗斯
孕期
街拍
婚姻
正能量