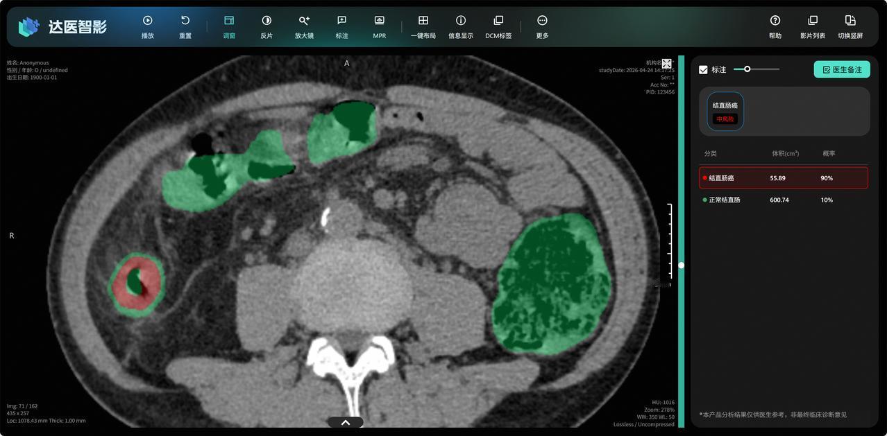
现在社会上有一个明显变化,很多人都意识到了,已经改变了很多人的命运! 不知道大家发现了没有,现在大家的健康意识越来越强了,通过身体的一些变化,很多网友都能判断到身体可能有问题。比如最近陆毅嘴唇发紫,就被很多网友建议去看看医生,陆毅还真听劝去检查了心脏各方面的指标。 很显然,大家对于身体健康越来越重视了,但现实生活的经验告诉我们,有的病通过身体的一些表面变化能感受到,但像癌症这种生命杀手,却非常的阴险,藏的很深。 想要解决这个问题,最好的办法就是去做癌症筛查,而在这方面,咱们的科技公司已经又向前迈出了重要的一步。 最近看到新闻,阿里达摩院通过AI进行癌症筛查的技术,又实现了突破。根据报道,阿里达摩院联合广东省人民医院等机构研发出肠癌筛查AI模型DAMO COCA。 这个模型已经从2.7万人的平扫CT影像中精准识别5例漏诊肠癌。其敏感性、特异性分别达到86.6%和99.8%,放眼国际,这种水平也是顶尖的存在。 除了精度特别高,该技术还是国际上首次提出的一种无需肠道准备、简便高效的肠癌“无感”筛查方法。这项研究的论文还登上国际顶刊《肿瘤学年鉴》(AnnalsofOncology),这是最权威的肿瘤学原创期刊。 技术含金量毋庸置疑,关键是价格非常低。 这项技术最重要的一个核心逻辑是,通过AI+CT平扫的方式,就能实现癌症筛查。也就是说过去做一次癌症筛查花几千上万,现在做一次200元的CT平扫,就能做癌症筛查,这也真正做到了技术普惠。 除了这次在肠癌的癌症筛查方面取得了突破性的进展,此前阿里达摩院的AI,还在胰腺癌、胃癌等癌症筛查方面取得了突破,都登上了国际顶级期刊,而且已经在多个医院部署,发现了很多医生没发现的潜在癌症。 癌症筛查,对于不幸患病的病人来说,是能救命的。很多癌症的患者为啥一发现之后就不行了?主要还是发现的晚,等有了症状之后才去的医院。数据也显示,早期肠癌5年生存率超90%,晚期不足15%。 所以从这方面来看的话,阿里达摩院的癌症筛查AI模型,是有重大现实意义的,他让每一个普通人都能用得起,做得上癌症筛查,既降低了筛查费用,也能揪出癌症这个隐藏的杀手,也希望阿里达摩院能在这方面继续进步,推出更多医疗模型来提升普通人的生活幸福感。


