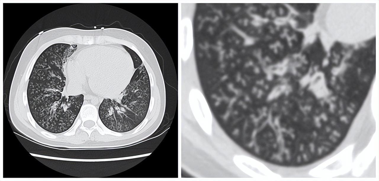
有很多比肺癌还要痛苦的肺病,90%的人都不知道。但患上了以后就很难根治,今天讲的这个疾病就是其中之一。 这个疾病有一个特异之处,就是经常合并有鼻炎,鼻窦炎。刚开始的时候主要的症状是咳嗽咳痰,症状会随着病情的加重而加重,并且出现气喘的情况。肺功能通常会出现阻塞性的通气功能障碍,这个疾病还有另外一个非常特征性的表现,就是胸部CT上的树芽征。 所谓的树芽征,就是肺部的细支气管周围长出类似于树芽的表现,像冬天梅花的花骨朵与树枝的关系,通常这种树芽征会呈现出下肺为主的弥漫性分布,这种表现是造成患者肺功能下降的主要机理之一,它会阻塞压迫细支气管,使呼吸变得不通畅,人逐渐出现气喘。这个疾病最终的发展会导致不可逆的支气管扩张和慢性阻塞性肺病,终末期患者非常难受,痛苦程度不亚于肺癌。 说来奇怪,这个疾病治疗又非常简单,主要靠大环内酯类的药物,比如说红霉素或者阿奇霉素长期口服为主,这两个药属于抗生素,但在这个疾病的诊治过程中,主要起到的作用不是抗感染,而是免疫调节。患者服用药物之后,肺部的树芽征可以逐渐好转,甚至消失。但如果进入了支气管扩张的终末期阶段,病情就很难逆转,所以疾病要早诊早治。所以记住这个疾病的特征是鼻窦炎加上肺部的树芽征及咳嗽咳痰气喘的表现。有这样的表现的病人一定要想到这个疾病。

