老涛资讯网
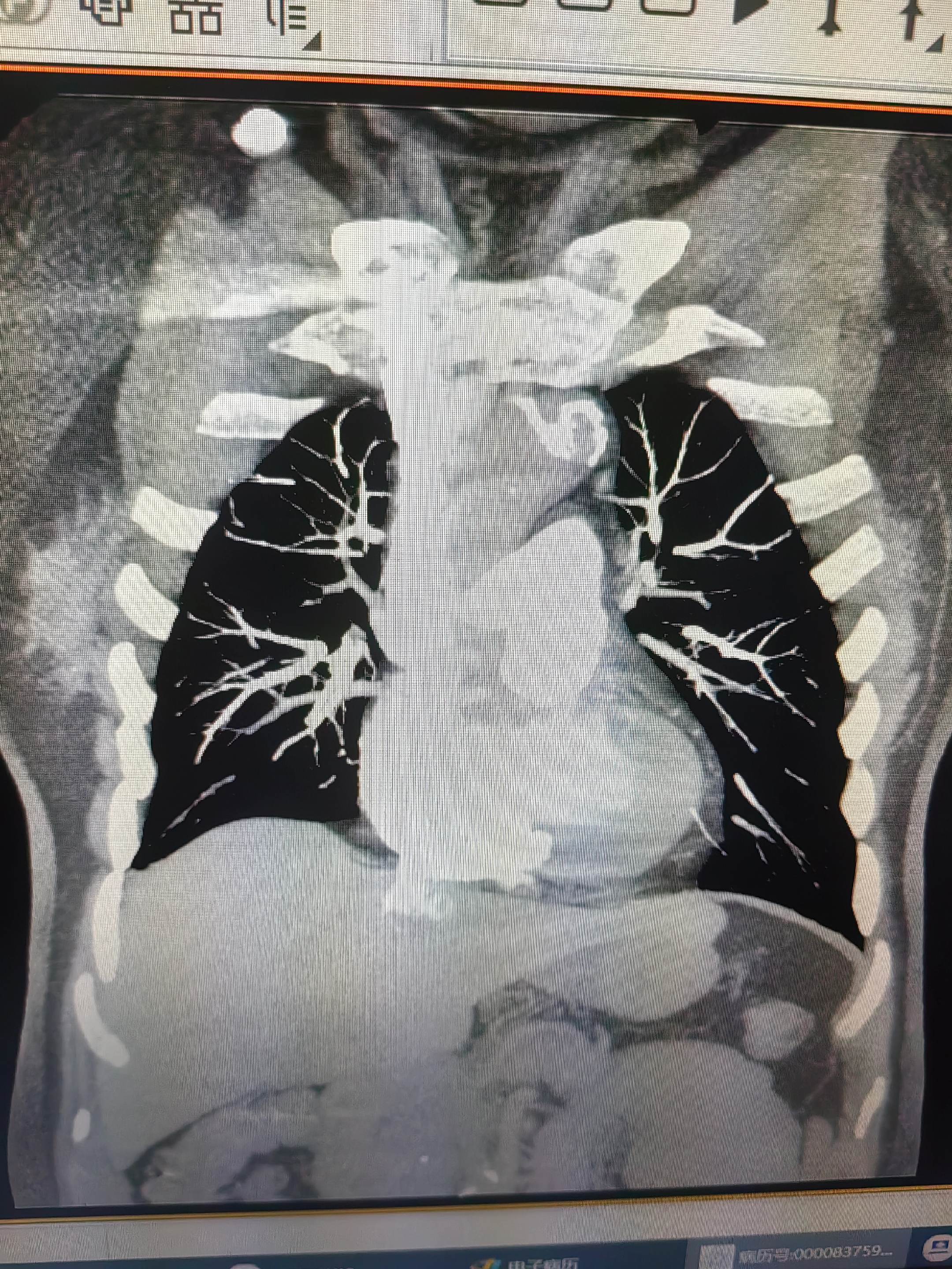
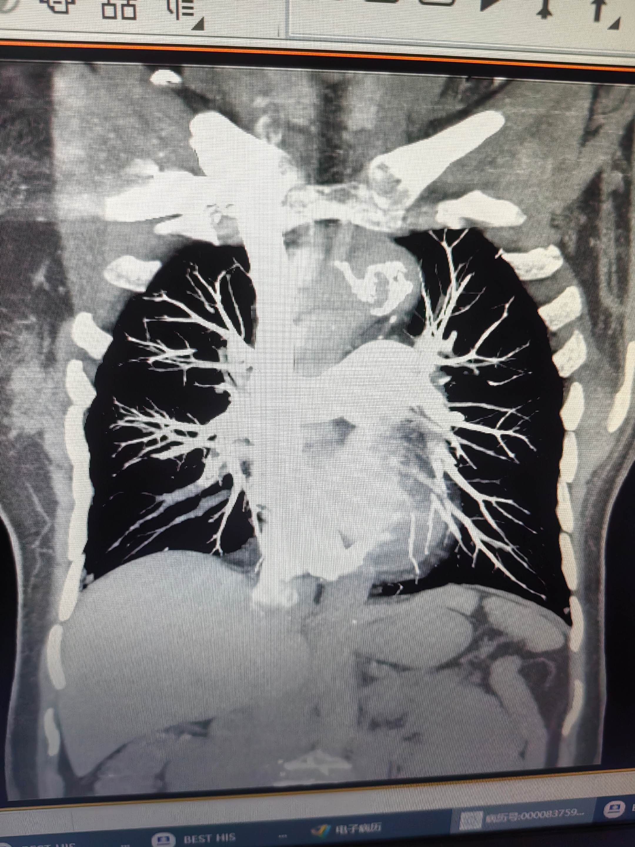
肺栓塞。
静海宫大哥
2025-09-07 13:00:30
0
阅读:0
静海宫大哥
感谢大家的关注
作者最新文章
1
一年一度教学课程开始了。
2
心律失常是心血管疾病中重要的一组疾病。它可单独发病,亦可与其他心血管病...
3
冠脉手风琴现象是冠状动脉介入手术中因导管或导丝刺激血管壁导致的暂时性血...
4
不内不外结构心 结构性心脏病是心血管内科专业的独立分支...
5
会诊。目前大量心包积液在心内科比较少见,会诊遇到一位疑难杂症患者,不明...
6
肺栓塞。
7
生命不息,运动不止。
8
心功能不全。全心增大、心包积液 安置心脏起搏器 阵发房颤 阵发室速
9
室性心动过速。 属于恶性心律失常,表现为心悸、胸闷...
10
出点汗还是有意义!
热门分类
推荐
热榜
军事
NBA
体育
社会
明星八卦
娱乐
财经
科技
汽车
历史
国际
游戏
动漫
公益
搞笑
商业
互联网
数码
国际足球
房产
家居
时尚
科学探索
职场
育儿
股票
教育
影视
情感
热点
中国军情
武器
中国南海
中国足球
亚洲杯
科比
综合体育
CBA
投资
大咖秀
外汇
创业
风口
SUV
豪车
概念车
优惠
新能源
美国
欧洲
朝日韩
俄罗斯
孕期
街拍
婚姻
正能量