老涛资讯网
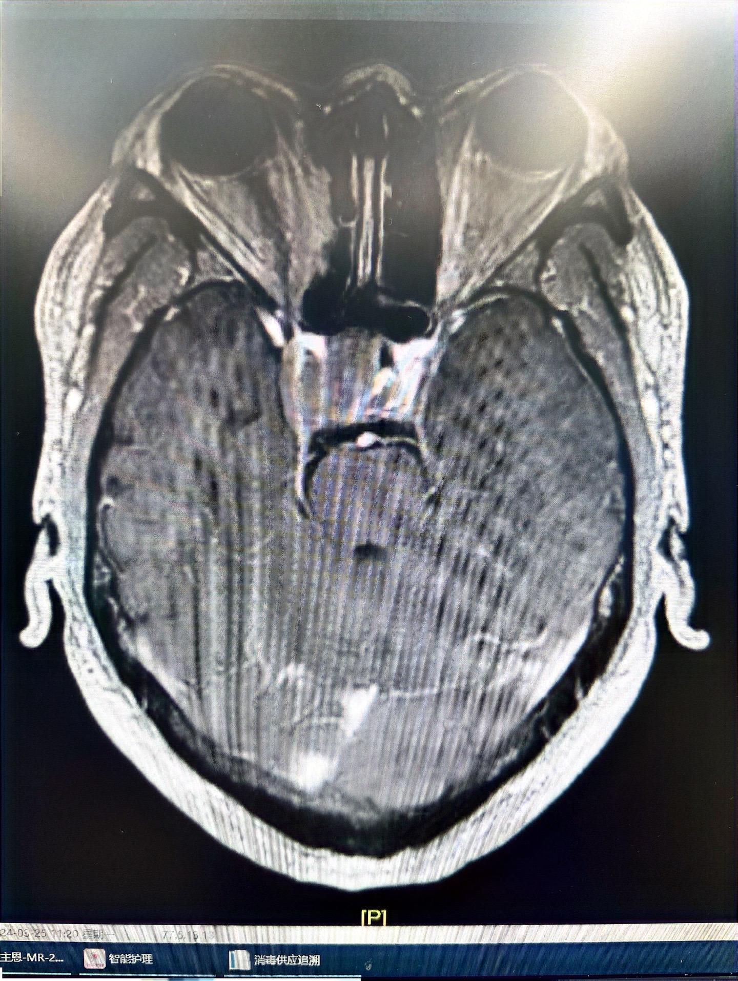
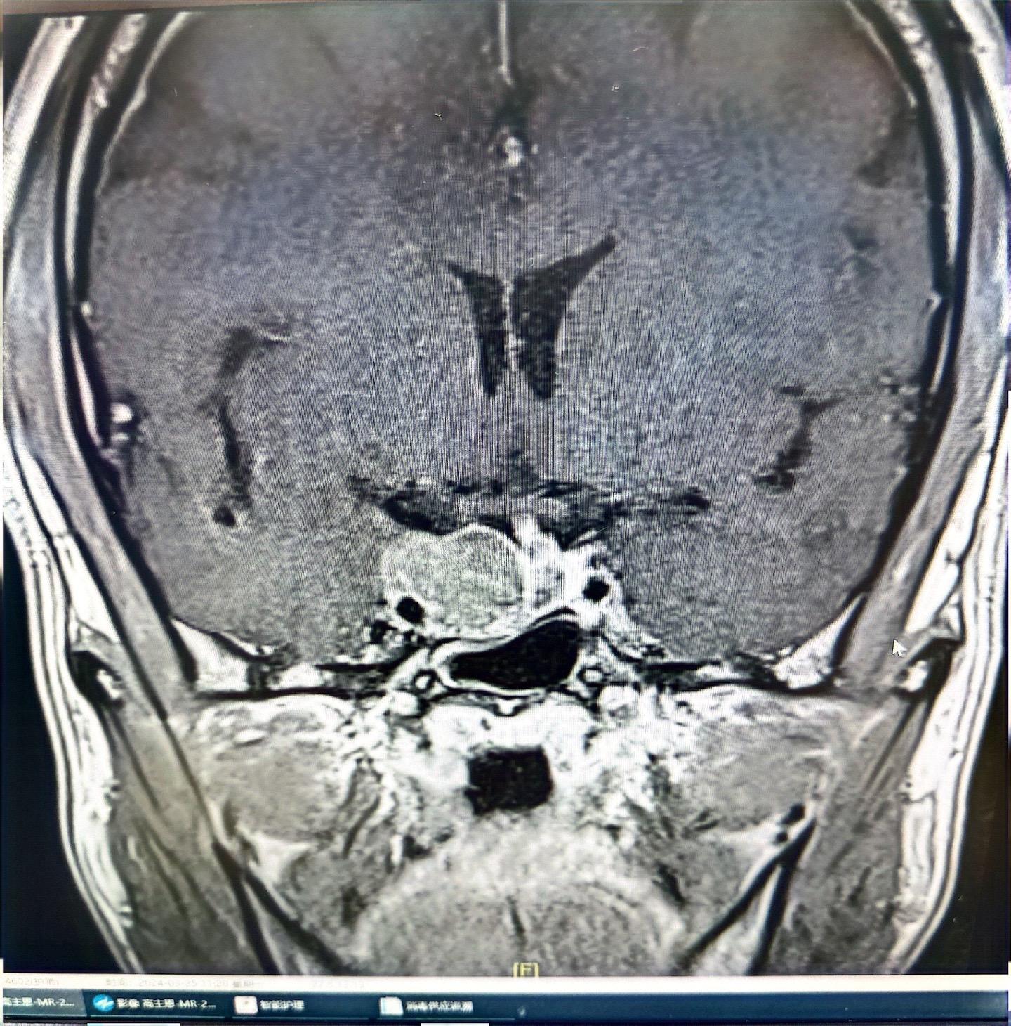
垂体瘤(生长激素型)分泌型垂体肿瘤难度还是较大,经鼻子手术,双镜联合,同时术中磁共振辅助,术后生长激素终于恢复正常!
神经外科姚培森
2024-05-13 18:08:27
垂体瘤(生长激素型)分泌型垂体肿瘤难度还是较大,经鼻子手术,双镜联合,同时术中磁共振辅助,术后生长激素终于恢复正常!
0
阅读:0
神经外科姚培森
感谢大家的关注
作者最新文章
1
528,和帕金森说再见!520,让秦艾德脑起搏器起效!
2
哎,很不幸,是恶性脑肿瘤。还不到30岁,初步病理提示高级别胶质瘤(恶性脑肿瘤),导航引导及功能保护下切除肿瘤
3
充实着每一天。今天一天三叉神经痛行微血管减压,一台痛行球囊,一台脑的骨头缺损,缺乏颅骨保护,行颅骨修补,三台术后复查CT可
4
面肌痉挛-“左眼跳财,右眼跳灾”面肌抽搐,发作时候眼睛睁不开,口角歪斜,手术为面神经微血管减压
5
三台手术完成。今天紧凑了一点,一台脑起搏器植入治疗帕金森病,一台三叉神经痛减压,一台三叉神经痛球囊压迫术
6
疼痛难忍。碰上这么一条“大蛇”(白色-椎基底动脉延长扩张)导致三叉神经痛,疼痛难忍,开颅风险较高,今日球囊手术顺利解决疼痛!
7
高温“烧死”肿瘤。利用机器人植入光纤,磁共振引导下高温消融颅内恶性肿瘤,看起来像科幻片,需要大量人力和高端设备加持!
8
垂体瘤(生长激素型)分泌型垂体肿瘤难度还是较大,经鼻子手术,双镜联合,同时术中磁共振辅助,术后生长激素终于恢复正常!
9
🏓型---痛!痛!痛!痛!痛!痛! 三叉神经痛球囊手术日常,如果身体条件较一般,或者其他原因不能耐受开颅的可以作为其中一个选择!
10
帕金森病-机器人辅助手术。帕金森病由于需要精准植入,常采用立体定向框架或者机器人来精准制导,且手术需要人员较多!
热门分类
推荐
热榜
军事
NBA
体育
社会
明星八卦
娱乐
财经
科技
汽车
历史
国际
游戏
动漫
公益
搞笑
商业
互联网
数码
国际足球
房产
家居
时尚
科学探索
职场
育儿
股票
教育
影视
情感
热点
中国军情
武器
中国南海
中国足球
亚洲杯
科比
综合体育
CBA
投资
大咖秀
外汇
创业
风口
SUV
豪车
概念车
优惠
新能源
美国
欧洲
朝日韩
俄罗斯
孕期
街拍
婚姻
正能量